Gehirn und Geist (Höheres Bewusstsein) existieren getrennt!
ZUR EINLEITUNG, DEN WOHL BEMERKENSWERTESTEN FALL ...
Dieses Polizeifoto schockt Amerika - Mann nur mit Hirnteilen
Dieses Polizeifoto schockt Amerika - Mann nur mit Hirnteilen
Diesem Mann fehlen wichtige Hirnteile und der halbe Kopf. Trotz allem, ist er gesund und munter! Auch hier werfen sich einige Fragen auf: Wie viel Gehirn braucht unser Bewusstsein? Ist unser Bewusstsein ans Gehirn gebunden? Bringt unser Gehirn das Bewusstsein hervor?
Hier fehlen eindeutig die wichtigsten Gehirnbereiche im Frontalhirn!

MIAMI - Polizisten haben Carlos Rodriguez verhaftet, weil er mit einer Prostituierten erwischt wurde.
Dieses Polizeifoto sorgt für reichlich Gesprächsstoff in den USA. Als Carlos Rodriguez auf der Wache seine Baseball-Mütze abgenommen hatte, fiel dem Polizeifotografen vor Schock beinahe die Kamera aus der Hand. Bei dem 25-Jährigen fehlt die obere Kopfhälfte inkl. den Frontalhirnbereichen. Eine Sprecherin des Miami Police Departments: «Er schien gesund und munter zu sein.»
➔ Spekulationen um die Echtheit machen seit der Veröffentlichung des Polizeifotos natürlich die Runde. Ein Reporter der New York Daily News ging der Sache nach und rief bei der zuständigen Polizeistation nach. Eine Beamtin erteilte ihm folgende Auskunft: “Ja, ich habe ihn gerade selbst gesehen”. “Ich sehe aber so viele Dinge, dass mich sowas nicht weiter verwundert hat.” 🎬 Das nachfolgende Videodokument zeigt die Person bei einer Unterhaltung ...
Ähnlich gelassen reagierten die vernehmenden Beamten. Sie notierten, nachdem der Festgenommene seine Baseballkappe abnahm, im Vernehmungsprotokoll unter dem Punkt „besondere Merkmale“: “halber Kopf”. Angeblich soll Carlos Rodriguez bereits in der Vergangenheit mit dem Gesetz in Konflikt geraten sein und frühere Polizeifotos sollen existieren. Auch meldeten sich einige Zeugen, die den Mann gesehen haben wollten.
Wie viel Gehirn braucht der Mensch?
Liegt unser Bewusstsein im Gehirn, ist unser Bewusstsein ein Produkt des Gehirns? NEIN!
Zu diesem Beitrag gibt es ein Zusatz-PDF; Direktdownload: https://bmun-gv-at.eu/pdf/Das_Gehirn_kann_sich_regenerieren-Neurogenese.pdf
Titel: Das Gehirn kann sich regenerieren - Neurogenese.
Neue und ältere Untersuchungen bzw. Entdeckungen stellen die Neurologen vor ein großes Rätsel.
Fall 1
Normales Leben mit Mini-Schalen-Gehirn
Ein französischer Beamter erstaunt die Fachwelt
Ein Beamter, der mit einem winzigen Gehirn ein nahezu normales Leben führt, hat französische Ärzte in Erstaunen versetzt. Der Mann kam unlängst ins Spital, weil sein linkes Bein sich schwach angefühlt hatte.
Eine Computertomografie und eine Kernspintomografie bei dem 44-Jährigen hätten «äußerst ungewöhnliche» Bilder erbracht. Das Gehirn des Mannes sei eigentlich nicht wirklich vorhanden. Dies sagte der Arzt Lionel Feuillet vom Marseiller Spital La Timone zu einem Bericht in der jüngsten Ausgabe der Fachzeitschrift «Lancet».
Zu diesem Beitrag gibt es ein Zusatz-PDF; Direktdownload: https://bmun-gv-at.eu/pdf/Das_Gehirn_kann_sich_regenerieren-Neurogenese.pdf
Titel: Das Gehirn kann sich regenerieren - Neurogenese.
Neue und ältere Untersuchungen bzw. Entdeckungen stellen die Neurologen vor ein großes Rätsel.
Fall 1
Normales Leben mit Mini-Schalen-Gehirn
Ein französischer Beamter erstaunt die Fachwelt
Ein Beamter, der mit einem winzigen Gehirn ein nahezu normales Leben führt, hat französische Ärzte in Erstaunen versetzt. Der Mann kam unlängst ins Spital, weil sein linkes Bein sich schwach angefühlt hatte.
Eine Computertomografie und eine Kernspintomografie bei dem 44-Jährigen hätten «äußerst ungewöhnliche» Bilder erbracht. Das Gehirn des Mannes sei eigentlich nicht wirklich vorhanden. Dies sagte der Arzt Lionel Feuillet vom Marseiller Spital La Timone zu einem Bericht in der jüngsten Ausgabe der Fachzeitschrift «Lancet».

Gemäß neuropsychologischen Untersuchungen habe der Mann einen Intelligenzquotienten (IQ) von ca. 75. Der Durchschnitt liegt heute bei ca. 100. Bei den Untersuchungen habe sich gezeigt, dass die üblichen Hohlräume im Gehirn sich bei dem Mann massiv ausgedehnt hätten, sagte Feuillet. Trotz allem ist er nahezu normal entwickelt und hat sich ein soziales Netz aufgebaut.

«Das Gehirn selbst, also die graue und weiße Nervenmasse, war völlig -wie eine Schale- an den Rand des Schädels gedrückt.» Der zweifache Vater habe trotzdem ein normales Leben geführt.
Fall 2
Mathematikstudent ohne Gehirn
Bei der Untersuchung eines seiner Patienten stellte er überrascht fest, dass dieser kaum ein Gehirn besitzt. Hinzu kommt, dass es sich bei dem Mann um einen intelligenten Mathematikstudenten handelt. Die Wissenschaft steht vor einem Rätsel, und dies ist kein Einzelfall.
Das menschliche Gehirn ist die mit weitem Abstand komplexeste Struktur im bekannten Universum. Schon kleinste Verletzungen dieses komplizierten Organs können fatale Folgen haben. Doch ist das immer so?
Bei einer geringfügigen Behandlung, stellte der Arzt der Sheffield Universität beiläufig fest, dass der Mathematikstudent einen etwas größeren Kopf, als für gewöhnlich besaß und wies ihn daher Dr. Lorber für weitere Untersuchungen zu. Der besagte Student war intelligent, besaß einen IQ von 126 und war im Begriff, seinen Hochschulabschluss zu machen. Bei einer Röntgenuntersuchung entdeckte Dr. Lorber dann überrascht, dass sein Patient praktisch überhaupt kein Gehirn besaß.

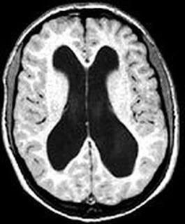
Erkennbar sind die mit Flüssigkeit gefüllten Ventrikel (schwarze Fläche, Bild oben). Normalerweise weist die Gehirnrinde eine Dicke von etwa 4 Zentimetern auf, bei ihm war sie jedoch auf die Dicke eines Papierblattes zusammengeschrumpft. Dr. Lorber schätzte, dass das gesamte Gehirn des Mannes nur etwa 100 Gramm wog. Ein normales Gehirn eines Erwachsenen wiegt zum Vergleich etwa 1,3 Kilogramm, also 13-mal soviel. Der Student litt unter einem Wasserkopf, einer Krankheit, bei der die Gehirn-Rückenmark-Flüssigkeit anstatt um das Gehirn zu zirkulieren und anschließend in den Blutstrom überzugehen, im Inneren aufgestaut wird.
In der Regel bedeutet dieser Zustand schon in den ersten Monaten der Kindheit ein tödliches Ende. Selbst wenn jemand überleben sollte, ist er für gewöhnlich schwer behindert. Irgendwie hat es der Sheffield Student jedoch vollbracht, ein komplett normales Leben zu führen und war zu all dem im Begriff, einen hochgradigen Abschluss in Mathematik abzulegen. Er führt sein Leben wie gehabt fort, außer mit dem Wissen, dass er kein Gehirn besitzt. Dieser Fall ist keineswegs einzigartig.
"Kein" Gehirn, auch kein Einzelfall, wie Fall 3,4,5,6, zeigen!
Fall 3
Im Jahre 1970 starb ein New Yorker im Alter von 35 Jahren. Er verließ die Schule ohne Abschluss, arbeitete jedoch in handwerklichen Berufen, zum Beispiel als Bauarbeiter oder Dachdecker. In seiner Nachbarschaft war er beliebt und bekannt. Die Mieter des Hauses, in dem er arbeitete, beschrieben ihn als gewöhnlichen Menschen, der die Boulevardzeitungen las und seinen Routinearbeiten, wie dem Warten des Heizungskessels, nachging. Als nach seinem frühen Tod eine Autopsie durchgeführt wurde, stellte man ebenfalls fest, dass er so gut wie kein Gehirn besaß.
Fall 4
Einen weiteren Fall schildert Lorber in dem Magazin Developmental Medicine and Child Neurology. Er handelt von zwei Kindern, die ohne Großhirnrinde (den Sitz des menschlichen Bewusstseins) auf die Welt kamen. Entgegen aller Vermutungen entwickelten sie sich jedoch bis zu ihrem frühen Tode völlig normal. Anscheinend wurden sie von der normalerweise verheerenden Fehlbildung nicht beeinflusst.
Fall 5
Zu einem der berühmtesten Fälle zählt der, des am 12. Juli 1984 geborenen Jungen Andrew Vandal. Im Fötalstadium hatte sich am oberen Ende seiner Wirbelsäule eine Zyste gebildet, die die Ausbildung des Gehirns verhinderte. In der Schädelkapsel befindet sich nur Hirnwasser. Auch er überlebte zum Erstaunen aller und feierte 1989 seinen fünften Geburtstag. Er konnte sich zwar lediglich auf dem Rücken bewegen, war jedoch in der Lage zu lachen und zeigte eine mentale Entwicklung.
Professor Dr. Lorber identifizierte noch hunderte weitere Menschen, die sehr kleine Gehirnrinden besaßen, jedoch auf dem geistigen und intellektuellen Stand eines gewöhnlichen Menschen waren. Einige von ihnen besaßen nach Lorbeer "kein nachweisbares Gehirn", erreichten bei IQ-Tests jedoch bis zu 120 Punkte.
Der Kopf des Betroffenen war größer als normal, aber damit hatte es sich auch schon. Seine Noten in Mathematik waren die besten seit langem, und sein mehrfach gemessener Intelligenzquotient von einhundert sechsundzwanzig hätte ihn zur Aufnahme in die diversen Klubs von „Superintelligenten" qualifiziert.
Das Seltsame war nur, dass der Student diese Leistungen ohne feststellbares Gehirn vollbrachte.
Fall 6
Ein normales Leben mit einem halben Gehirn
Michelle Mack lebt mit nur einer Hirnhälfte. Die 37-Jährige hat nun ihr Schicksal öffentlich gemacht, um anderen Menschen Mut zu machen. Der Fall beweist, dass gesundes Hirngewebe die Funktionen von geschädigten Bereichen übernehmen kann - zumindest teilweise.

Falls Church - Als die Ärzte zum ersten Mal in den Kopf der Frau sahen, trauten sie ihren Augen nicht. Mit Hilfe eines Kernspintomografen entdeckten sie, dass die linke Hirnhälfte von Michelle Mack fast vollständig fehlt. Doch obwohl sie mit nur einer Hirnhälfte zur Welt kam, lebt sie ein überraschend selbstständiges Leben, wie der Nachrichtensender CNN am Dienstag berichtete. Demnach spricht und liest Mack normal, hat einen Highschool Abschluss und arbeitet bei der Datenverwaltung einer Kirche.

Vor einigen Jahren entdeckten die Mediziner, dass die Patientin nur ein halbes Gehirn hat. Sie vermuten, dass ein Schlaganfall vor der Geburt die Ursache dafür war, dass sich die linke Hirnhälfte der heute 37-Jährigen aus Falls Church im US-Bundesstaat Virginia nicht ausgebildet hat.
Der Neurowissenschaftler Jordan Grafman erklärte, dass dadurch zwar wichtige Strukturen für die Bewegungssteuerung, das Verhalten und das geistige Vermögen wichtige Strukturen fehlten. Dafür habe sich aber die rechte Hirnhälfte "neu verdrahtet" und wichtige Funktionen wie Sprechen und Lesen übernommen, so der Mediziner vom National Institutes of Health (NIH).

Dr. Lorbers und Dr. Grafmans umfassende Studien sind nicht die ersten ihrer Art.
Dr. Wilder Penfield, Direktor des Neurologischen Institutes der McGill-Universität in Montreal und einer der führenden Gehirnchirurgen der Welt, hat sich der Erforschung dieses irritierenden Rätsels jahrzehntelang verschrieben. Auslösender Moment dafür war eine Arbeit von Dr. Walter Dandy aus dem Jahr 1922 über Menschen, die mit bescheidensten Überresten ihres Gehirns ein absolut normales Dasein führten.
Dr. Penfield machte eine Reihe von Experimenten, in denen er das Gehirn mittels Strom und anderer Methoden teilweise gezielt ausschaltete.
In über fünfhundert Versuchen konnte er den Schleier des Geheimnisses zwar nicht lüften, wohl aber die Existenz des Phänomens zweifelsfrei belegen.
Schon im Mai 1950 kommentierte der berühmte New Yorker Neuropsychiater Dr. Russel G. MacRobert die monumentale Penfield-Studie wie auch das Mysterium selbst im Magazin Tomorrow so: „Der Chirurg, der große Hirnteile wegoperiert, zerstört damit nicht nur Gewebe, sondern unvermeidlicherweise auch unsere gegenwärtige Vorstellung von Geist und Bewusstsein." All das konnte (und kann) irgendwann einmal nicht mehr ignoriert werden und musste (müsste eigentlich schon lange) zu diversen Erklärungsversuchen führen. Erklärungsversuchen die in eine völlig andere Richtung gehen müssten als die NOCH heutig gültige.
Auch die Tatsache, dass viele Menschen radikalste Eingriffe im Gehirn (wie Durchtrennung der Hirnhemisphären, Entfernung einer Hirnhälfte etc.) völlig unbeschadet überstehen, während andere durch einen Schlag auf den Kopf schwere Schäden davontragen. Nimmt man die Medizingeschichte gründlich unter die Lupe, so strotzt sie von solchen unerklärbaren Absonderlichkeiten. Berichte darüber reichen weit in die Vergangenheit zurück. Die Ärzte Dr. Jan W. Bruell und Dr. George W. Albee berichteten 1953 vor der American Psychological Association von einem neununddreißigjährigen Mann, dem die gesamte rechte Hirnhälfte entfernt werden musste. Er überlebte diesen schwerwiegenden Eingriff nicht nur, sondern, so schlossen die beiden Vortragenden, „die intellektuellen Fähigkeiten des Mannes waren praktisch nicht beeinträchtigt".
Auch der berühmte Gehirnspezialist Prof. Dr. Schleich listete zwanzig Fälle schwerster Verluste von vitalem Hirngewebe ohne jegliche geistige Behinderung der Betreffenden auf. Dazu merkte er an, dass diese Fälle Quelle steter Verwirrung beim medizinischen Personal waren und Stoff für Diskussionen über die alte philosophische Frage vom Sitz der Seele lieferten. Kurzum: das Gehirn - ein unerforschliches Rätsel. Auf der einen Seite ist es so empfindlich, dass es ein einzelnes Photon registrieren kann, dann wiederum arbeitet es in Höchstform, ohne vorhanden zu sein.
Was lässt sich aus alldem schließen?
Schwer zu sagen. Der nackte Materialismus erweist sich jedenfalls als ungenügend.
Existieren Gehirn und Geist getrennt?
Auch wenn die meisten Neurologen nach wie vor krampfhaft an der Vorstellung festhalten wollen, Bewusstsein sei eine Folge der Anatomie und der Struktur der Großhirnrinde, so müssen sie dennoch, wenn auch freudlos- zugeben, so einfach ist das nicht wirklich, niemand hat eine wirklichen wissenschaftlichen Beweis wie Bewusstsein hervorgebracht wird, beziehungsweise wie das Gehirn diesen Prozess bewerkstelligt, für den es ja verantwortlich sein soll. Einzige vernünftige Erklärung: Das wahrnehmende Bewusstsein ist nicht Teil der Gehirnmaterie, sondern nützt diese nur bis zu einem bestimmten Grad.
Es ist ein rätselhaftes Mysterium
Denn niemand weiß bis jetzt, wie Personen mit "nicht nachweisbarem Gehirn" oder stark zerstörten Gehirn, überhaupt in der Lage sind zu funktionieren, geschweige denn in Mathematik zu graduieren, aber es gibt einige Theorien dazu.
Eine dieser Theorien geht davon aus, dass ein normales Gehirn von Natur aus ein hohes Maß an überschüssigen Funktionen besitzt und das wenig verbleibende Gehirn daher fähig wäre, die Aufgaben der fehlenden Gehirnhälften zu übernehmen. Es gibt sogar Fälle, bei denen Menschen problemlos mit nur einer Gehirnhälfte leben, da diese die Aufgaben der fehlenden Hälfte übernommen hat.
Eine andere Theorie besagt: Das Gehirn ist NICHT der Sitz des Bewusstseins, es interpretiert dieses nur.
Das Gehirn funktioniert eher wie ein Antennensystem, ein Mensch (ein Körper) kann dieser Theorie zufolge auch nicht sein Bewusstsein verlieren, sondern das Bewusstsein verliert den Kontakt zum Antennensystem-Gehirn und somit zum Körper/Menschen.
Wenn unser Gehirn jedoch kein Apparat zum Bewerten, Abspeichern und Verarbeiten von Erfahrungen ist, um uns das Leben zu ermöglichen, wozu ist das Gehirn überhaupt da? Und wo ist der Sitz der menschlichen Intelligenz? Wo ist der Verstand? Wo ist das Bewusstsein wirklich?
Für manche ist das Bewusstsein ein Feld, das morphogenetisch mit allem verbunden ist.
In diesem Zusammenhang muss man auch die Tatsache sehen, dass auch der freie Wille ein "Märchen" unseres Gehirns ist.
Neuere Untersuchungen zeigen: Unser Bewusstsein hinkt um ca. drei bis sieben Sekunden hinter dem ersten Impuls zu einer Entscheidung hinterher?
Wir erhalten unbewusste "Befehle" zur Aktion, die man als Voraktivität im Gehirn messen kann, noch bevor die Entscheidung von uns als bewusst erlebt wird.
Wir glauben nur, dass wir bewusste Entscheidungen treffen!
Mehr dazu unter freier Wille, Direktlink:
Und warum kann man mit Neuro-Stimulation Menschen aus Koma erwecken?
Hirnstimulation - Traumapatient lernt wieder sprechen
Was erhöhte Hirnaufladung (Potenzialerhöhung) alles kann!
Auch das widerspricht der gängigen Vorstellung vom Gehirn!
Der materialistische Ansatz, der in der Hirnforschung herrscht, geht davon aus, dass das Gehirn unser Bewusstsein produziert. Schon alleine die Hirn-Anomalien und fehlenden Hirnmassen lassen starke Zweifel an dem materialistischen Erklärungsweg aufkommen.
Und das tritt nicht nur einmal auf ...
Und das tritt nicht nur einmal auf ...
Siehe dazu auch die weiteren Bereiche ...
Mädchen fehlt Gehirnhälfte, sieht aber normal und ist ganz normal https://eggetsberger-info.blogspot.com/2011/12/madchen-fehlt-gehirnhalfte-sieht-aber.html
Quellen:
Prof. Dr. John Lorber (Neurologe) https://en.wikipedia.org/wiki/John_Lorber
CNN, Reuters, Wikipedia, IPN-Labors u.a.
Dr. Wilder Graves Penfield (Neurologe) https://de.wikipedia.org/wiki/Wilder_Penfield
Direktlink zu dieser Seite: https://eggetsberger-info.blogspot.com/p/wie-viel-gehirn-braucht-der-mensch.html